Skip to main content

Toothaches can kill you !

Toothaches can kill you !

 
 
Please take a dental abscess seriously!
We have at Indian Dental Association (IDA) time and again advocated the importance of oral health and called ‘The mouth is the gateway to the whole body’,  it’s sad that people are not aware of how deadly a tooth abscess can be; people generally think --, “It’s just a tooth/my gums.”  But the teeth and gums provide a direct path into the rest of your body, and you have some extremely vital organs very close by.
Toothache can be caused by a variety of reasons: -
  • Decay/Cavities: The basic reason for toothache is cavity. Bacteria gets in causing pain and can be cured usually by a simple filling.
  • Gum Disease: (periodontal disease, Gingivitis) This is when the gums become inflamed and deep ‘pockets’ that trap bacteria are formed. When gum disease is left untreated, tooth pains. The treatment is deep cleaning — sometimes referred to as scaling or scraping — and a solid, consistent oral hygiene regimen.
  • Cracked Tooth: Sometimes, teeth break causing toothaches.
  • Wisdom Teeth: Wisdom teeth can cause pain, especially if they become impacted. Pain towards the back of your teeth/mouth could be caused by this. Your dentist will study your x-ray for diagnosis.
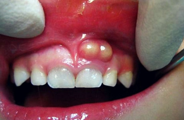
  • Abscess/Infection: An abscess or bacterial infection occurs when infection builds up in the centre of the tooth due to one of the above issues. This can cause severe pain, persistent throbbing, sensitivity to temperatures, fever, swelling, swollen lymph nodes in your jaw or neck, and even a rush of foul, salty fluid in your mouth if the abscess ruptures. While a toothache in itself will not kill you, but this untreated infection —could. The infection can spread to your jaw, head, or neck—or your bloodstream.
What’s sepsis?
Put simply, it’s your body’s approach to fighting infection - except it’s so aggressive and toxic it usually turns into a life-threatening attack against your own immune system which can kill you.
What does sepsis have to do with a toothache?
And when an infection is left untreated, your body works harder to fight bacteria. The bacteria can spread into your bloodstream through the pulp of the tooth, which holds lots of nerves, tissues and blood vessels. One thing leads to another, and first is dental abscess, or a pocket of pus – causing a lot of pain, swelling, a bad taste a in your mouth and a fever. It can also lead to sepsis. Visit your dentist because
  • Sepsis is ranked as the No. 1 "most expensive in-patient cost" in hospitals. India currently tackles 750,000 cases of Sepsis every year of which overall mortality rate in ICU patients is 12.08% and in the severe stage Sepsis patients it is 59.26%. with nearly 2,000 people hospitalized each year.
  • In India ,there are more than 90,000 lives are being claimed by Sepsis every year.
  • Researchers have found that sepsis infections caused by dental problems are on the rise - with a 40% increase in less than a decade, according to the New York Times.
  • A person with sepsis is five times more likely to die than someone who experiences a heart attack or stroke, according to the National Institutes of Health.
  • The majority of bacterial problems that can lead to sepsis are treatable or can be prevented with regular dental care.
If you have a toothache and visit your dentist, he or she can determine the cause, treat the problem and prescribe antibiotics to prevent the infection from spreading. Treating the cause of the infection can be fairly straightforward — you might need a filling, braces, a crown or a root canal. A tooth extraction is usually done as a last resort, but your dentist or endodontist can decide if it’s necessary.
What Can Be Done for a Tooth Abscess?
So if you have an abscess, the following will give you some relief (besides the obvious first step of calling a dentist ASAP):
  • Cold compress – an ice pack of some kind, placed over the area for 15-20 minutes, with at least 30 minutes in between sessions, can provide a lot of relief
  • Alternate Ibuprofen and Tylenol for better pain relief than either alone.  Take 2-3  Ibuprofen, wait 3 hours, take 2 Tylenol Extra Strength, then just keep alternating.
  • Warm salt water rinses – if there’s any sores or bleeding, the salt water will sooth it.  1 tsp in a normal-sized cup, rinse for 30-60 seconds every hour.
  • Avoid hard, crunchy, pointy foods (chips, nuts, hard bread)
  • Avoid foods/drinks that are either really hot or really cold.
Dental treatment
  • If the tooth is fixable, and likely to last a long time, a root canal and crown
  • If the tooth is too broken or decayed to fix, an extraction may be the only choice.
If the tooth has to be extracted, you have 4 basic choices:
  • Do nothing and leave the space.  This will have consequences down the road (other teeth moving can mess up your bite and smile), it’s always a choice.
  • A partial or complete denture.  This is usually the least expensive replacement, but many people don’t like it, because you have to take it out to clean it and it doesn’t look natural.
  • As long as there are teeth on either side of the extraction, you can get a dental bridge.  A bridge is basically several crowns that are connected, and the teeth on the side of the space support it just like a bridge over a river.  The upsides are that you don’t have to take it out, it can look very natural.
  • Dental implant is the best way to replace one or more missing teeth.  They may last the rest of your life.  Of course, it’s also the most expensive in the short term, but long term, it’s definitely the best way to go.
Prevention is easy
If you have a toothache, the best way to handle it is to visit your dentist. He or she can identify what’s causing the pain and determine a course of action from there. Besides the above mentioned reasons for toothache there are a few other afflictions that can cause ‘toothache’ as a symptom:
  • Temporomandibular joint disorder (TMJ): This is acute or chronic inflammation of the temporomandibular joint, which connects your mandible to your skull. There are many symptoms for TMJ, including head and neck pain; difficulty biting; a “clicking” or “popping” of your jaw while chewing; and, yes, jaw and tooth pain.
  • Sinus Trouble: Sinuses are right above your upper teeth and inflammation of sinus issues can cause tooth pain.
  • Heart Disease/Heart Attack: Heart disease and heart attacks do list jaw pain/tooth pain as symptom. Again, this does not mean that toothache means that you are having a heart attack, but if you do have any kind of history of heart or coronary trouble or risk, pay extra attention if the toothache is accompanied with light-headedness and/or sweating (or any other heart attack symptoms).
 This is the reason that we at Emergency Dental Centre (EDC) stress that you must visit your dentist twice a year for cleanings. Floss and brush after meals, including after lunch at work, if possible. Use a mouth-guard during sports. Don’t use your teeth as bottle openers, scissors, etc as they can break. Plus speak with your dentist if something is bothering you, like recurring jaw pain or headaches.
-Mamta Singh



By-IDA

Comments

Popular Posts

The Polio Vaccine Menace: Should You Worry?

The Polio Vaccine Menace: Should You Worry? There has been a recent spurt in media regarding the contamination of oral polio vaccine with type 2 poliovirus strain by a certain vaccine manufacturer. The Director of the Company was arrested last Friday after the CDSCO and Ministry of Health and Family Welfare lodged an FIR. What are the facts around it? Is it really something to worry about? Does the campaign “ DO BOOND JINDAGI KI ” for compulsory polio vaccination of kids require further investigation? We understand the concern. This made us consult the experts and find the answers. What is the Background of Type 2 Polio Virus Strain? Polio vaccines were prepared using three poliovirus strains: types 1, 2 and 3, in the past. However, August 2016 onwards, it was decided by the Government of India to withdraw the type 2 strain based on its epidemiological significance. So, a large number of children received the same strain that had been used under the National Immun...

DID YOU KNOW ABOUT THESE AMAZING HEALTH BENEFITS OF TRIPHALA?

DID YOU KNOW ABOUT THESE AMAZING HEALTH BENEFITS OF TRIPHALA? Did You Know About These Amazing Health Benefits Of Triphala? Ayurveda, the ancient system of medicine, healthcare and well being places immense importance on Triphala. Triphala is a herbal mix made of Amla, Haritaki, and Bibhitaki, 3 fruits dried and powdered in equal measure; hence the name.Here are some amazing health benefits of triphala: 1 . Improves Eyesight Amla strengthens eye muscles and cleanses the eyes of foreign objects. Haritaki or harad prevents eye conditions like cataract and glaucoma. Regular use of triphala water has been known to improve vision and slow down the deterioration of the eyes and conditions related to it. Mix 1-2 tablets or ½ teaspoon of Triphala powder in 300 ml of water, soak overnight. Filter this mix and use it to wash your eyes with, every morning. For best results use a copper vessel to store the Triphala water. 2 . Regulates Metabolism Good metabolism is the key to good health. Ay...

Diet, Diabetes and Oral Care

Diet, Diabetes and Oral Care.   With 50.8 million suffering from diabetes, India continues to be the ‘diabetes capital’. Problems with teeth and gums can be more common for people with diabetes, so good oral health is important to prevent complications developing. And by 2030, nearly 9% of the India’s population is likely to be affected from diabetes, according to a study of International Diabetes Federation. This raises concern about looking after teeth and gums as it is an essential part of learning to live with both type 1 diabetes and type 2 diabetes. Indians now need to seriously consider good oral health as it contributes general overall health. Diabetics are more susceptible to developing oral infections and gum (periodontal) disease than those who do not have diabetes.  You need to therefore keep blood sugar within a normal range to reduce risk of oral health problems. Dentists at Stoma Advanced Dental Care advised eating a balanced diet, gett...

Contact Form

Name

Email *

Message *

Total Pageviews